みなさま、こんにちは。 前回に引き続き、今回は最後の 「デンタルフロスの使用方法」 について ...more
専門クリニックであること
福岡天神矯正歯科はマウスピース型矯正装置(インビザライン)を中心に治療を行う歯列矯正専門医院です。当院は福岡と東京にクリニックがあり、治療に関する情報を日々共有しております。
あなただけのプライベート空間
患者さまとのつながりを大切にするために、ご予約時間に診察する患者さまは「お一人ずつ」とさせていただいております。ゆったりとした個室空間で、リラックスして治療を受けていただけます。
一日の予約数を限定
当院では診療時間は貴重な「患者さまの時間」と考えます。医師・スタッフがあなたの治療に専念し、有意義にお過ごしいただけるよう、一日の予約数を限定させていただいております。
症例実績
2017: 176件, 2018: 277件, 2019: 563件, 2020: 698件
2021:736件, 2022:468件, 2023:598件, 2024: 748件, 2025: 551件
当院はマウスピース型矯正装置「インビザライン」を中心に治療を行う矯正治療専門医院です。
当院では矯正治療が難しいとされている 「抜歯をともなう治療」「上顎前突(出っ歯)」「反対咬合(受け口)」についても、マウスピース型矯正装置(インビザライン)やワイヤー・ブラケットを用いた矯正治療を行っております。
まずは一度お気軽にご相談ください。
※矯正経験を積んだ歯科医師がすべての治療を一貫して行います。
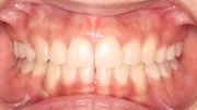
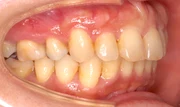
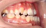
難しいケース1.抜歯症例
上下のガタガタが著しく八重歯が目立ち、見た目も歯磨きもしにくいという悩みを持った患者さま。4本の小臼歯抜歯を行い、17ヶ月という治療期間を経て、かみ合わせとスマイル時の見た目が改善しました。
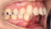
難しいケース2.上顎前突(出っ歯)
上の前歯や上顎が大きく前にでているかみ合わせ。口元が出ていて、出っ歯を治したいという希望の患者さま。23ヶ月という治療期間を経てかみ合わせと口元が改善しました。
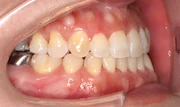
難しいケース3.下顎前突(反対咬合・受け口)
下の前歯や下顎が上の前歯よりも前にでているかみ合わせ。受け口が子供の頃よりコンプレックスで目立たない装置での治療を希望された患者さま。22ヶ月という治療期間を経てかみ合わせと口元が改善しました。
当院についてclinic
福岡天神矯正歯科はマウスピース型矯正装置(インビザライン)による治療を中心に行う歯列矯正専門医院です。当院は福岡と東京にクリニックがあり、治療に関する情報を日々共有しております。私達は、矯正治療を「医療」として提供いたします。
more
治療案内service
できるだけストレスの少ない矯正治療を受けていただきたいという思いから開院当初より患者様おひとりおひとりに合った治療方法をご提供させていただいております。当院ではマウスピース型矯正装置(インビザライン)を始め、ワイヤー・ブラケットを用いた矯正治療を行なっております。
more
院長メッセージmessage
院長 河野 美紗
kawano misa
診療時間hours
| 診療 時間 |
月 | 火 | 水 | 木 | 金 | 土 | 日 |
|---|---|---|---|---|---|---|---|
| 10:30〜13:30 | ○ | ○ | ○ | 休 診 |
○ | 9:00 〜 16:30 |
休 診 |
| 15:00〜19:00 | ○ | ○ | ○ | ○ |
月〜金 / 10:30〜19:00
土 / 9:00〜16:30
休診日 / 木曜・日曜・祝日
アクセスaccess
〒810-0023 福岡市中央区警固2-17-10 スパッヂョけやき通りビル 2F
tel:092-707-1252
地下鉄でお越しの場合・・・
赤坂駅より徒歩10分
西鉄バスでお越しの場合・・・
『警固町』より徒歩5分、『赤坂2丁目』より徒歩2分
車でお越しの場合・・・
当院に駐車場のご用意はありませんので、恐れ入りますが近隣の駐車場をご利用ください。
お知らせnews
ブログblog
INSTAGRAM@fukuokatenjinkyosei_
Error: No feed with the ID 1 found.
Please go to the Instagram Feed settings page to create a feed.
治療における注意点risk & side effects
○矯正治療
・矯正治療全般における一般的な治療費は60万~150万円、一般的な治療期間は2~3年、一般的な治療回数は24~36回となります。使用する装置、症状や治療の進行状況などにより変化しますので、参考程度にお考えいただき、詳細は歯科医師にご確認ください。
・機能性や審美性を重視するため、公的健康保険対象外の自費診療となり、保険診療よりも高額になります。
・最初は矯正装置による不快感、痛みなどがあります。数日から1~2週間で慣れることが多いです。
・治療期間は症例により異なりますが、成人矯正や永久歯が全て生えそろっている場合は、一般的に1年半~3年を要します。小児矯正においては、混合歯列期(乳歯と永久歯が混在する時期)に行なう第1期治療で1~2年、永久歯が全て生えそろったあとに行なう第2期治療で1~2年半を要することがあります。
・歯の動き方には個人差があるため、治療期間が予想より長期化することがあります。
・装置や顎間ゴムの扱い方、定期的な通院など、矯正治療では患者さまのご協力がたいへん重要であり、それらが治療結果や治療期間に影響します。
・治療中は、装置がついているため歯が磨きにくくなります。虫歯や歯周病のリスクが高まるので、丁寧な歯磨きや定期メンテナンスの受診が大切です。また、歯が動くことで見えなかった虫歯が見えるようになることもあります。
・歯を動かすことにより歯根が吸収され、短くなることがあります。また、歯肉が痩せて下がることがあります。
・ごくまれに、歯が骨と癒着していて歯が動かないことがあります。
・ごくまれに、歯を動かすことで神経に障害を与え、神経が壊死することがあります。
・治療中に金属などのアレルギー症状が出ることがあります。
・治療中に、「顎関節で音が鳴る、顎が痛い、口をあけにくい」などの顎関節症状が出ることがあります。
・問題が生じた場合、当初の治療計画を変更することがあります。
・歯の形状の修正や、噛み合わせの微調整を行なうことがあります。
・矯正装置を誤飲する可能性があります。
・装置を外すときに、エナメル質に微小な亀裂が入る可能性や、補綴物(被せ物など)の一部が破損することがあります。
・装置を外したあと、保定装置を指示どおりに使用しないと後戻りが生じる可能性が高くなります。
・装置を外したあと、現在の噛み合わせに合わせて補綴物(被せ物など)の作製や虫歯治療などをやり直す可能性があります。
・顎の成長発育により、歯並びや噛み合わせが変化する可能性があります。
・治療後に、親知らずの影響で歯並びや噛み合わせが変化する可能性があります。
・加齢や歯周病などにより、歯並びや噛み合わせが変化することがあります。
・矯正治療は、一度始めると元の状態に戻すことが難しくなります。
○マウスピース型矯正装置(インビザライン)
・機能性や審美性を重視するため、公的健康保険対象外の自費診療となり、保険診療よりも高額になります。
・正しい装着方法で1日20時間以上使用しないと、目標とする治療結果を得られないことがあるため、きちんとした自己管理が必要になります。
・ご自身で取り外せるため、紛失することがあります。
・症状によっては、マウスピース型矯正装置(インビザライン)で治療できないことがあります。
・お口の中の状態によっては、治療計画どおりの結果が得られないことがあります。
・装着したまま糖分の入った飲料をとると、虫歯を発症しやすくなります。
・治療によって、まれに歯根吸収や歯肉退縮が起こることがあります。
・食いしばりの癖が強い方の場合、奥歯が噛まなくなることがあります。
・治療途中で、ワイヤーを使う治療への変更が必要になることがあります。
・お口の状態によっては、マウスピース型矯正装置(インビザライン)に加え、補助矯正装置が必要になることがあります。
・治療完了後は後戻りを防ぐため、保定装置の装着が必要になります。
・薬機法(医薬品医療機器等法)においてまだ承認されていない医療機器です。日本では完成物薬機法対象外の装置であり、医薬品副作用被害救済措置の対象外となることがあります。
○薬機法において承認されていない医療機器「インビザライン」について
当院でご提供している「マウスピース型矯正装置(インビザライン)」は、薬機法(医薬品医療機器等法)においてまだ承認されていない医療機器となりますが、当院ではその有効性を認め、導入しています。
◦未承認医療機器に該当
薬機法上の承認を得ていません(独立行政法人 医薬品医療機器総合機構ウェブサイトにて2025年10月10日最終確認)。
◦入手経路等
アライン・テクノロジー社(日本法人:インビザライン・ジャパン合同会社)より入手しています。
◦国内の承認医療機器等の有無
国内では、マウスピース型矯正装置(インビザライン)と同様の性能を有した承認医療機器は存在しない可能性があります(独立行政法人 医薬品医療機器総合機構ウェブサイトにて2025年10月10日最終確認)。
◦諸外国における安全性等にかかわる情報
1998年にFDA(米国食品医薬品局)により医療機器として認証を受けていますが、情報が不足しているため、ここでは諸外国における安全性等にかかわる情報は明示できません。今後重大なリスク・副作用が報告される可能性があります。
◦医薬品副作用被害救済制度・生物由来製品感染等被害救済制度の救済対象外
国内で承認を受けて製造販売されている医薬品・医療機器(生物由来等製品である場合に限る)・再生医療等製品による副作用やウイルス等による感染被害で、万が一健康被害があったとき、「医薬品副作用被害救済制度」「生物由来製品感染等被害救済制度」などの公的な救済制度が適用されますが、未承認医薬品・医療機器・再生医療等製品の使用は救済の対象にはなりません。また、承認を受けて製造販売されている医薬品・医療機器・再生医療等製品であっても、原則として決められた効能・効果、用法・用量および使用上の注意に従って使用されていない場合は、救済の対象にはなりません。
日本では、完成物薬機法対象外の矯正装置であり、医薬品副作用被害救済制度の対象外となります。
※当該未承認医薬品・医療機器を用いた治療の広告に対する注意事項の情報の正確性について、本ウェブサイトの関係者は一切責任を負いません。
○歯列矯正用咬合誘導装置(プレオルソ)
・薬機法(医薬品医療機器等法)において承認された医療機器です。歯の誘導に使用します。
・機能性や審美性を重視するため、公的健康保険対象外の自費診療となり、保険診療よりも高額になります。
・取り外せるので、装着時間を守るためのセルフコントロールが必要です。
・お子さまが治療に協力的でない場合、良好な治療結果を得られないことがあります。
・毎日の装着を怠ると、良好な治療結果を得られないことがあります。
・正しい使い方ができていないと、かえって悪い歯並びになってしまうことがあります。
・この装置だけで、お口周りの問題を全て解決できるわけではありません。
初診相談のご予約appointment
初診相談についてご興味をお持ちの方は、お電話もしくは下記のフォームよりお問い合わせください。
月〜金 10:30〜19:00 / 土 9:00〜16:30
〈休診日〉
木曜・日曜・祝日




